No Image x 0.00 + POST No Image

Une IA dévoile l’invisible: des lésions cérébrales microscopiques chez des enfants épileptiques, invisibles à l’IRM, et qui pourraient changer leur vie

SHARE
0

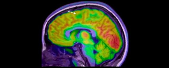
Un outil d’intelligence artificielle capable de détecter des malformations cérébrales minuscules chez les enfants atteints d’épilepsie pourrait accélérer l’accès à une chirurgie qui peut changer une vie. Ces lésions, parfois taille d’une myrtille ou même plus petites, sont souvent invisibles sur les IRM et échappent au diagnostic traditionnel.

Une IA dévoile l’invisible: des lésions cérébrales microscopiques chez des enfants épileptiques, invisibles à l’IRM, et qui pourraient changer leur vie

Le problème: l’épilepsie a plusieurs causes et les lésions structurelles sont souvent invisibles à l’œil

L’épilepsie a plusieurs causes, et environ trois cas sur dix proviennent d’anomalies structurelles du cerveau. Ces lésions passent souvent inaperçues sur les IRM — surtout les plus petites —, parfois cachées au fond d’un pli cérébral. L’étude a été dirigée par Emma Macdonald-Laurs, pédiatre neurologue au Royal Children's Hospital de Melbourne, qui explique que l’IA peut aider à repérer ces éléments et accélérer les décisions de traitement.

Le problème: l’épilepsie a plusieurs causes et les lésions structurelles sont souvent invisibles à l’œil

La méthode et les résultats: entraîner l’IA sur l’imagerie pédiatrique et des performances prometteuses

Les chercheurs ont entraîné l’IA sur des images du cerveau d’enfants pour trouver des lésions de la taille d’une myrtille ou moins. En combinant l’IRM et une autre technique appelée PET, le taux de réussite était de 94% dans un groupe et 91% dans l’autre. Sur 17 enfants du premier groupe, 12 ont subi une chirurgie pour enlever les lésions et 11 sont aujourd’hui sans crises.

La méthode et les résultats: entraîner l’IA sur l’imagerie pédiatrique et des performances prometteuses

Impact réel et limites: l’IA comme outil d’aide, pas comme remède universel

80% des patients avaient préalablement eu une IRM normale. L’outil n’enlève pas le rôle des radiologues ou des médecins; c’est un détective qui aide à assembler les pièces du puzzle pour proposer une chirurgie potentiellement salvatrice. « Le tool ne remplace pas les radiologues ou les médecins de l’épilepsie, mais c’est comme un détective qui nous aide à mettre les pièces du puzzle ensemble plus rapidement afin d’offrir une chirurgie potentiellement salvatrice, » précise l’équipe. Des experts de King’s College London réagissent: « Ce travail est vraiment excitant et les résultats sont vraiment impressionnants. » Cependant, le physicien Konrad Wagstyl rappelle que le PET est coûteux et moins accessible que l’IRM et qu’il implique une dose de radiation.

Impact réel et limites: l’IA comme outil d’aide, pas comme remède universel

À l’aube d’un changement: vers une mise en pratique plus large et une meilleure accessibilité

Les prochains plans des chercheurs: tester le détecteur dans plus d’hôpitaux réels sur de nouveaux patients non diagnostiqués. L’épilepsie touche environ un enfant sur 200 et environ un tiers des cas résistent au traitement médicamenteux. Des recherches antérieures du King’s College London avaient montré que l’IA pouvait repérer des lésions manquées par les radiologues (64%). Le travail australien, publié dans Epilepsia et mené au Murdoch Children’s Research Institute, marque une étape prometteuse vers un diagnostic plus rapide et un accès à la chirurgie pour les enfants.

À l’aube d’un changement: vers une mise en pratique plus large et une meilleure accessibilité

-->