No Image x 0.00 + POST No Image

Нова алатка со вештачка интелигенција открива невидливи мозочни лезии кај децата со епилепсија – оние што лекарите со години ги пропуштаа

SHARE
25

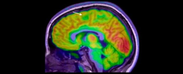
Австралиски научници создадоа алатка базирана на вештачка интелигенција што може да открие микроскопски и тешко забележливи малформации во мозокот на деца со епилепсија – откритија што медицинскиот тим долго време не можеше да ги види, а кои им го одземаа правото на живот што го заслужуваат.

Нова алатка со вештачка интелигенција открива невидливи мозочни лезии кај децата со епилепсија – оние што лекарите со години ги пропуштаа

Абнормалности на мозокот – главна причина кај третина од децата со епилепсија

Експертите наведуваат дека во околу 30% од случаите на епилепсија кај децата, причината се структурални абнормалности во мозокот. Овие аномалии многу често се премногу мали или скриени во превои на мозокот, па стандардните МРИ снимки често не ги откриваат. Ова ги спречува децата да бидат кандидат за операција која може целосно да го промени текот на нивниот живот.

Абнормалности на мозокот – главна причина кај третина од децата со епилепсија

Како функционира алатката и кои се првите резултати?

Тимот, предводен од детскиот невролог Ема Макдоналд-Лаурс, ѝ даде на вештачката интелигенција снимки од мозоци на деца, за да може да детектира лезии со големина на боровинка или дури и помали. Таа објаснува: „Тие често се пропуштаат и многу деца не се разгледуваат како кандидати за хирургија. Оваа алатка не ги заменува лекарите, но е детектив кој ни помага побрзо да ги составиме делчињата од сложувалката и да понудиме можност за операција со потенцијално животна промена.“

Како функционира алатката и кои се првите резултати?

Импресивна точност и надеж за децата со отпорна епилепсија

Во студијата, 80% од децата со кортикална дисплазија и фокална епилепсија веќе имале МРИ што била оценета како „нормална“. Со помош на вештачката интелигенција – преку анализа на МРИ и ПЕТ снимки – алатката успеала да детектира лезии со точност од 94% кај една група и 91% кај друга. Од 17 деца во првата група, 12 биле оперирани, а 11 од нив веќе немаат напади. Следната цел е тестирање на алатката во реални болнички услови кај нови пациенти.

Импресивна точност и надеж за децата со отпорна епилепсија

Ограничувања – скапи тестови и доза на радијација, но иднината е ветувачка

ПЕТ снимките, кои се дел од анализата, се скапи и не се толку достапни како МРИ, а се поврзани и со изложеност на одредена доза радијација – нешто што треба да се има предвид. Сепак, резултатите се толку охрабрувачки што, според експерти од Велика Британија, ова претставува вистинска револуција. Слични студии користејќи само МРИ и вештачка интелигенција веќе покажуваат значајни резултати – откриваат 64% од лезиите што лекарите ги испуштаат. Оваа работа претставува надеж за децата со епилепсија, од кои една третина не реагира на лекови и бара поинаков пристап.

Ограничувања – скапи тестови и доза на радијација, но иднината е ветувачка

-->