No Image x 0.00 + POST No Image

AI揭露儿童癫痫的隐藏真相:蓝莓大小的脑病灶常被MRI忽略

SHARE
0

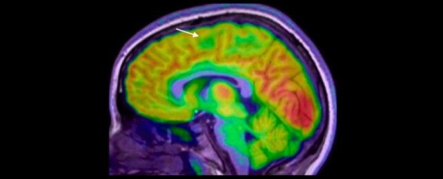
在儿童癫痫诊治中,一项澳大利亚研究展示了一个人工智能工具,能够检测极小、极易错过的脑部畸形,帮助患者更快获得可能改变命运的手术。 专家指出,癫痫的病因多样,但约有三成病例与脑部结构异常相关。这些异常往往在MRI上被漏看,尤其是最小的病灶,常隐藏在脑回褶皱的深处。

AI揭露儿童癫痫的隐藏真相:蓝莓大小的脑病灶常被MRI忽略

AI像侦探:专门寻找隐藏在脑褶皱底部的微小病变

由墨尔本皇家儿童医院的 Emma Macdonald-Laurs 率队,研究人员让AI工具学习儿童脑部影像,以发现直径如蓝莓般大小甚至更小的病变。 她说:‘工具并不替代放射科医生或癫痫医生,而是像侦探一样,帮助我们更快拼凑线索,从而提供可能改变生活的手术。’

AI像侦探:专门寻找隐藏在脑褶皱底部的微小病变

80%的孩子曾经的MRI结果是正常——错失手术的机会

研究对象包括皮层发育不良和局灶性癫痫患者。结果显示,80%的孩子在研究中此前的MRI都显示为正常。 当研究人员将AI结合MRI与另一种成像技术 PET 时,诊断的成功率分别达到94%和91%(分组数据)。

80%的孩子曾经的MRI结果是正常——错失手术的机会

AI+PET的组合显著提高诊断的准确性

在第一组17名儿童中,12人接受了手术以切除脑内病变,11人目前已实现癫痫发作的控制。 研究者们表示,接下来计划在更多真实医院场景对新未诊断患者进行测试。

AI+PET的组合显著提高诊断的准确性

前景、挑战与伦理成本:未来将走进更多医院,但需权衡成本与辐射

这项工作被视为概念验证,结果令人振奋,但也存在现实挑战:PET成本高、并非MRI那么普及,且伴随放射暴露风险。 另外,相关研究也提示,在MRI数据上使用AI同样有助于发现被放射科医生遗漏的病变——一项KCL团队的研究显示,在MRI数据上AI能发现64%的癫痫相关病灶。 癫痫约影响每200名儿童中的1名,约三分之一为药物难治性。未来需要在成本、可及性和辐射风险之间寻求平衡,并让更多医院能够采用这类工具。

前景、挑战与伦理成本:未来将走进更多医院,但需权衡成本与辐射

-->